No final de 1976 e início do ano seguinte o saudoso RAUL SEIXAS ( 1945-1989 ) fez muitas pessoas cantarem- ou apenas cantarolarem - ao som de EU NASCI HÁ DEZ MIL ANOS ATRÁS : como é sabido , o personagem da música - que mistura História , Filosofia e ficção fantástica - é um sujeito pacato mas que teve o privilégio de testemunhar todos os grandes acontecimentos da história da humanidade . Obviamente ele não vive há 10.000 anos mas tem muita , mas muita história mesmo para contar : nascido em Meruoca - cidade do interior do do Ceará - , como tantos conterrâneos , ele mudou-se para então praticamente selvagem e despovoado Acre para trabalhar como seringueiro , tendo naquele ocasião apenas 11 anos de idade . Hoje , apesar de quase não falar e de muitas vezes precisar da ajuda de outras pessoas para fazer uma refeição , JOÃO COELHO DE SOUZA já há 4 anos não é atendido por um médico e vive em um quase isolado lugarejo chamado ESTIRÃO DO ALCÂNTARA , localizado a cerca de 30 minutos - de barco - da cidade de Sena Madureira , cidade acreana que fica na divisa com o Amazonas . João é casado há 42 anos com uma mulher 69 anos mais nova do que ele . Mais : João a viu nascer e a criou ! Em 2015 ao apresentar seus documentos em uma agência do Previdência Social , imediatamente os funcionários tiveram uma sensação de espanto , e não era para menos : consta em sua certidão de nascimento e na carteira de trabalho a data de 10 de março de 1884 ......Com 132 anos de idade , João seria , teoricamente , a pessoa mais velha do mundo em todos os tempos , porém tudo indica que é essa não é a sua verdadeira data de nascimento ........
Ele não sabe a sua real data de nascimento e acabou sendo criado pela irmã mais velha , que foi quem o criou e o registrou ( a sua primeira certidão de nascimento só foi emitida em 1974 ! ) . Outro desses casos inacreditáveis de longevidade vem do outro lado do mundo , mais especificamente do Japão . SHIGECHIYO IZUMI nasceu no longínquo 29 de junho de 1865 ( o seu nome consta no primeiro censo do Japão , realizado em 1871 ) e só veio a falecer em - vítima de pneumonia e em seu bangalô ( ele vivia na cidade de Asan , localizada na ilha Tokunoshima , que fica a 1.320 quilômetros de Tóquio ) - às 12 horas e 15 minutos do dia 21 de fevereiro de 1986 e tendo naquela ocasião 120 anos e 237 dias ......O ancião japonês trabalhou até os 105 anos de idade ( ! ) e estava viúvo já 30 anos . Detalhe : ele começou a fumar a partir dos 70 anos de idade ! Então , qual era o segredo para uma vida tão longa ? Segundo ele mesmo era Buda , Deus , o sol e SHO-CHU ( um aguardente de cana-de-açúcar ) ......Tirando obviamente as diferenças de língua , cultura e época , como teria sido um possível encontro entre os dois ? Imagine quantas histórias fantásticas - tanto as vividas quanto as testemunhadas - eles compartilhariam ! Na crônica de hoje o escritor são chiquense HILTON GORRESEN também resolveu " dar asas " à sua imaginação e fazer dois idosos , por sinal , completamente diferentes , se encontrarem .......Só que é aquele negócio : crônica de Hilton Gorresen que se preze tem que ter bom humor do início ao fim ! CONFIRA E DÊ BOAS RISADAS !
"Um deles era o velhinho que deu certo : tranquilo, boa aposentadoria, os
filhos formados, somente ele e a patroa na casinha confortável.
Vez em quando,
pegava a velha
( sim, pegava a velha, mas não é o que estão pensando ) e iam
fazer uma viagem pro exterior ( ABAIXO ) , onde morava o filho engenheiro. Com tudo pago,
naturalmente.
O outro, ah, o outro ! Era o que não deu certo. Solitário ( ABAIXO ) , pagando pensão para
duas ex-mulheres, vivia correndo atrás de dinheiro ( coisa incomum neste país ).
Vendeu o fusquinha para pagar contas.
Os filhos, quando apareciam em sua
quitinete alugada, já diziam de cara que estavam ' duros ' , piores até do que ele.
Só iam lá para ver se o velho ainda estava vivo.
Um dia os dois se encontraram numa fila, naquela de atendimento
preferencial.
Para muita gente, hoje em dia, fila é um dos poucos lugares de
reunião social. A Harmonia Lira dos pobres.
– Você não é o... o ...espera aí que vou me lembrar.
– Também estou lhe reconhecendo... pera aí, está na ponta da língua.
– Já sei... você é o Janguinho, aquele garoto quietinho ( ABAIXO ) , estudioso, o melhor
aluno da turma ( o Janguinho, vocês devem ter adivinhado, era o que deu certo ).
– E você, o Carlão ! Grande Carlão ! Vivia cercado de meninas. Você era o
bom da escola, líder da turma. O terror dos professores.
– E hoje vivo sozinho, quase abandonado.
– Ê Carlão ! Você naquele tempo tomava todas. Era pinga, cerveja, vodka,
batida... não tinha o que chegasse. Cada festa !
– E hoje sofro de cirrose.
– Você sim é que era machão, falava o que queria, nem o diretor da escola lhe
impunha medo. Chegou a meter a mão na fuça do professor de latim.( ABAIXO )
– Mas a última vez em que abri a boca fui preso pela Ditadura ( ABAIXO ) . Dois meses
de ' férias ' . E pergunta se ganhei indenização, aposentadoria gorda e outros
benefícios.
– Você era o meu ídolo, rapaz. Jogava futebol, basquete, nadava pela escola.
Ninguém te pegava na corrida.
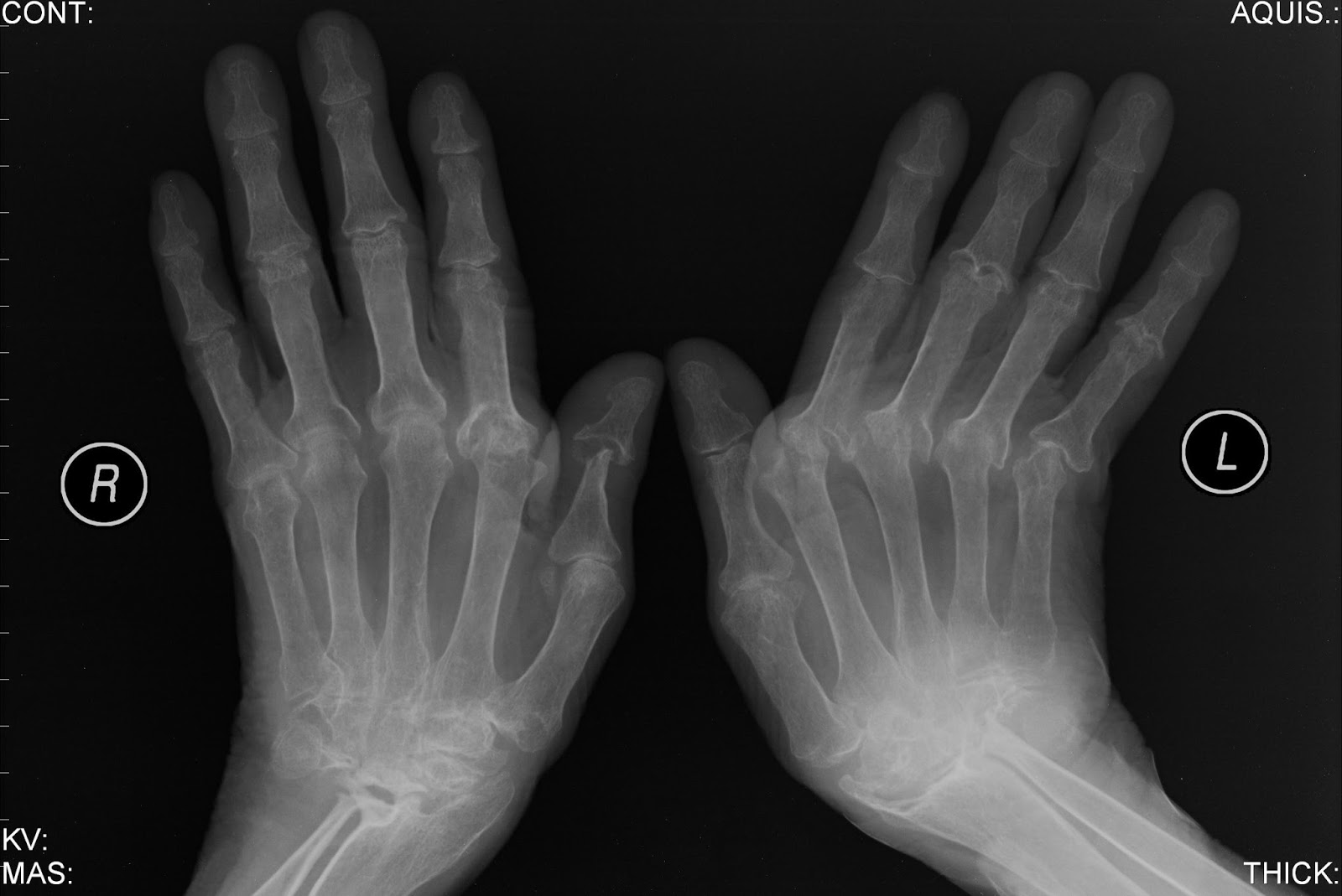
– Hoje pegam facilmente. Tenho artrite ( ABAIXO ) , artrose, bico de papagaio...
– E os bailes no clube ? Você era o bamba no fox-trote. E no bolero então ?
Tinha inveja de lhe olhar, agarradinho com as meninas, só encoxando ( naquele
tempo ' encoxar ' era o máximo da safadeza ).
– Pois é ! Hoje, continuo ' dançando ' . Mas é a vida que está me ' encoxando ' .
Pra não dizer outra coisa, em respeito às velhinhas da fila.
Afinal se despediram. Cada um para seu lado. Janguinho saiu aborrecido , ( ABAIXO )
frustrado :
– Que droga ! E eu que sempre quis ser o Carlão. "




















Nenhum comentário:
Postar um comentário